歯科一般、小児歯科、口腔外科、矯正歯科
歯科に限らず、医療機関は法律で公の面前(新聞雑誌、広告、医院や駅、電柱と等看板等)に表示してよい内容が決められて折、診療科目は上記のみです。
我々開業歯科医は、まず、歯科に関連する内容すべてにわたり総合的に相談できる窓口であるとお考えください。必要に応じて専門性の高い病院を適切に紹介することも大切な役割の一つと考えています。まずは気楽にいらしてください。
- ホワイトニング
- ホームホワイトニングをおすすめしています。詳しくはスタッフまで
- ナイトガード
- 歯ぎしりされる方、歯をガードするソフトタイプを作成しています
- スポーツマウスガード
- コンタクト系スポーツをされる方、必須です。チームドクターにまずは相談してください
- インプラント
- 当院ではおすすめしていません。
- 他
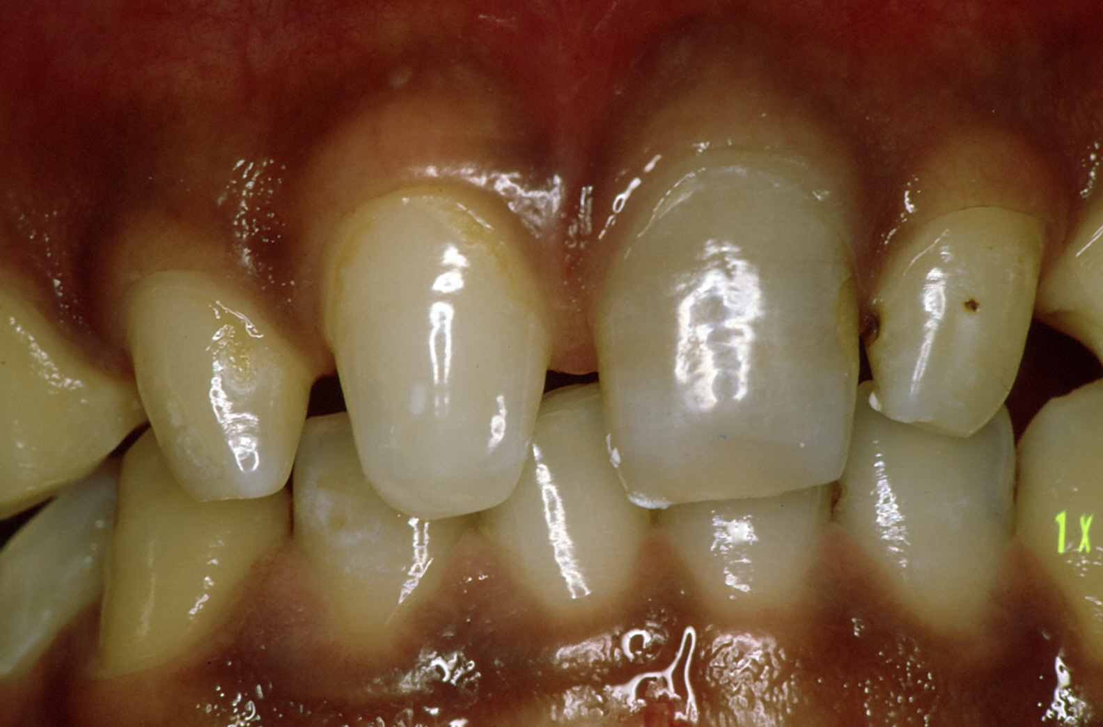
前歯の治療
「前歯は保険が効かない?」
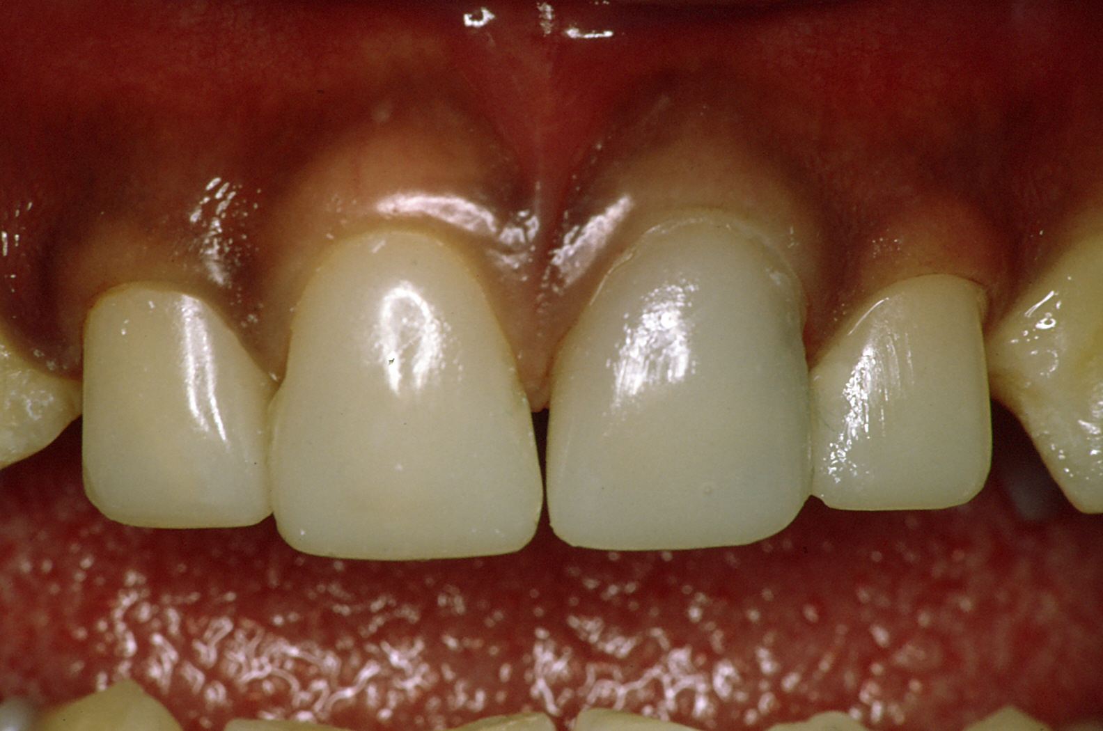
こんな言葉昔は良く耳にしたのではないでしょうか。写真は同じ方です。保険で、それも歯はほとんど削っていません。
残念ながら欠点としては、変色すると言うことと、強度的に十分とはいえません。
金銭的な問題がクリアできる方は保険のきかないかぶせ物をお勧めします。変色の心配もなく、色合いはより歯に近くなり、強度も保険のものより高くなります。
「歯をかぶせる治療について」
保険、保険外(自費)、いくつかの選択肢があります。歯の状態、咬み合せ等により内容が変わります。この場では十分な説明ができませんので是非一度拝見させてください。
「保険が効かないものについて」
メタルボンドクラウンと言って、金属の枠を作り、それに焼き物をつけていく、もっともオーソドックスなものがあります。最近広まってきている「オールセラミックス」等は、メタルフリー(金属を使用しない)のもので、金属アレルギーのある方には特に朗報と言えると思います。メタルボンドクラウンや金属でかぶせる(金歯、銀歯)のに比べると歯を削る量が増えます。従って、症例によってはお勧めできないことがあります。それぞれに利点欠点が必ずあります。
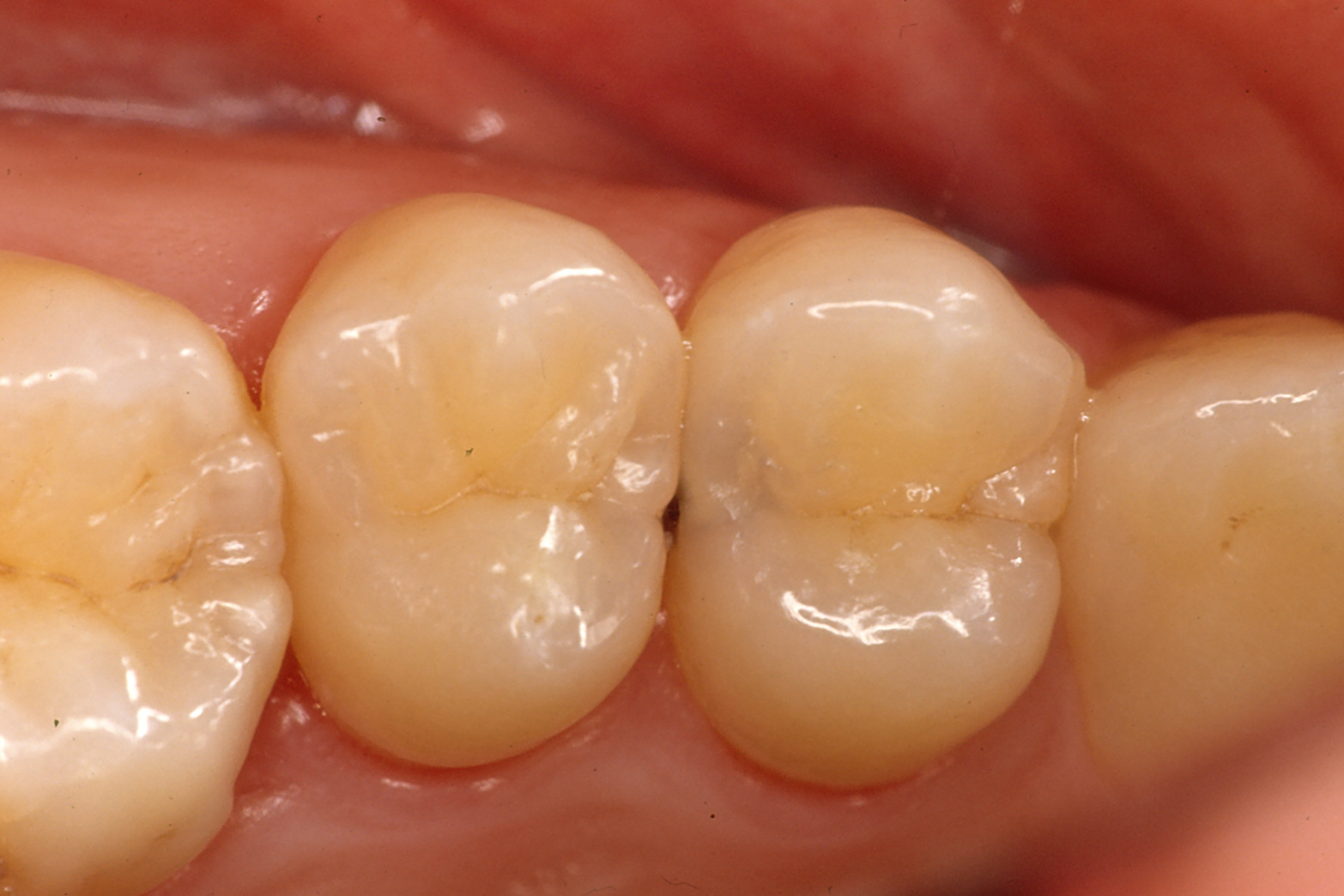
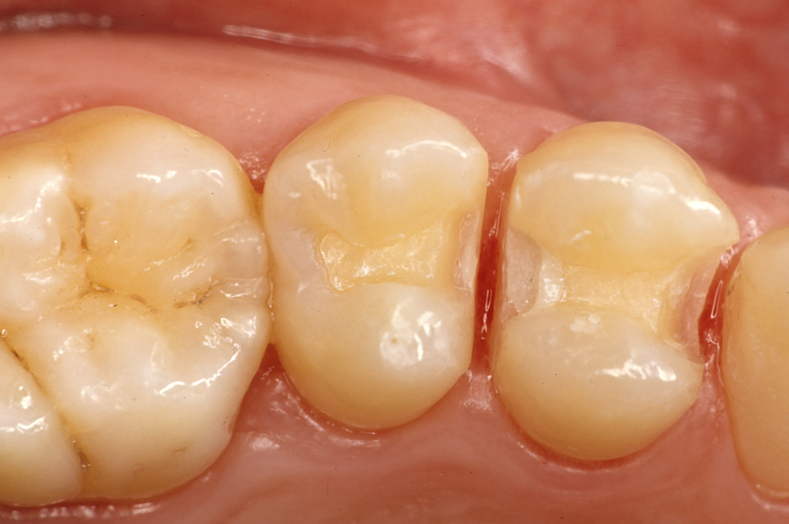
奥歯の治療

上の写真、穴が見えなくても大きな虫歯があります。
(金属で治す場合、下の写真のように削ります)
治療方法
- 金属を入れる
- 保険の白い詰め物で治す
- 保険外(自費)で白い物をはめる(ポーセレンインレー等)
それぞれに利点欠点があります。虫歯の状況だけでなく、かみ合わせ、口腔内環境、習慣等々から総合的に判断しお勧めします。
ワンポイント
白い詰め物、実は、歯と歯肉の境目付近に適応するのは意外に難しいのです。材料、手法を気をつけないと上手く接着せず隙間が生じます。
以上、ごく一部です。個々の症例でお勧めの処置が違ってきます。
保険、自費を問わず、選択肢を提供させていただきます。ご希望をお聞かせください。
矯正歯科
基本第3土曜日午後、専門医が担当させていただいています。